| 设为主页 | 保存桌面 | 手机版 | 二维码
普通会员

文安县魏家口腔门诊部

我门诊引进了美国登斯柏X光机、意大利数字成像机、韩国三维CT机、德国西诺德综合治...

产品分类
  • 暂无分类
联系方式
  • 联系人:魏玉梅
  • 电话:0316-5066386
  • 邮件:xiuxin838@126.com
  • 手机:18631628218
  • 传真:0316-5066386
站内搜索
 
友情链接
  • 暂无链接
您当前的位置:首页 » 供应产品 » 魏家口腔可靠的牙齿局部修复推荐_专业的牙齿局部修复
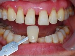
魏家口腔可靠的牙齿局部修复推荐_专业的牙齿局部修复
点击图片查看原图
产品: 浏览次数:166魏家口腔可靠的牙齿局部修复推荐_专业的牙齿局部修复 
品牌: 魏家口腔
单价: 面议
最小起订量:
供货总量: 1 普通
发货期限: 自买家付款之日起 3 天内发货
有效期至: 长期有效
最后更新: 2015-11-07 11:37
  询价
详细信息
魏家口腔可靠的牙齿局部修复推荐_专业的牙齿局部修复 我公司提供的牙齿局部修复服务一直以来都有着良好的口碑。因为我们以至诚服务,追求完美为出发点,走着亲民的路线。我们竭诚以亲切的方式以及全心全意为顾客服务,忠实履行自己的职业职责的服务标准为您服务,客户满意,才是真的满意。文安县魏家口腔门诊部把专业的理论知识和精湛的技术手法作为自己的核心竞争力和生命线,提供的牙齿局部修复获得了广大牙病,牙齿问题等群体的支持与信赖。牙齿局部修复是以项目计费,为了能够更好的服务于大众,顾客可采用银行转账;在线支付;存兑汇票;当面交易的方式付款。 伴随着快节奏的生活,健康养生娱乐休闲等相关方面问题越来越受到人们的重视。文安县魏家口腔门诊部创建于2009-12-21,坐落在文安县赵各庄镇大堡村,以提供优质的牙齿局部修复服务为业务,致力满足牙病,牙齿问题等群体的需求,获得了广大需求者的青睐。 魏家口腔“诚信经营、质量为本、效果为核心、利益为前提、市场口碑为目标”的市场理念,一贯奉行“崇尚和谐”的企业精神,提供的牙齿局部修复主要针对牙病,牙齿问题等群体,得到了众多服务对象的青睐。我们的营业时间是周一至周日,您可通过电话预约;网上预约;到店预约;微信预约的方式提前预约。 关于,便捷的牙齿局部修复,牙齿局部修复价格范围,牙齿局部修复值得信赖还有更多信息等你看哦 体贴的牙齿局部修复,便利的牙齿局部修复,牙齿局部修复信息,牙齿局部修复品牌 参数仅供参考使用,实际为准。 项目:牙齿矫正牙齿局部修复 场所:店内 服务周期:5-60分钟 服务特色:办百姓满意的医院,做患者喜欢的大夫 牙齿局部修复品牌:魏家 服务条款:服务结束,款项结清 增值服务:免费信息咨询 服务地区:河北廊坊文安县 服务方式:到店服务 服务理念:办百姓满意的医院,做患者喜欢的大夫 价格:商议 魏家口腔凭借多年的行业经验,不单单为用户带去健康美丽,更是一家致力于推广发展牙齿局部修复事业公司。专门为广大牙病,牙齿问题等群体提供满意的牙齿局部修复,以满足其需求,秉承以高品质的专业牙齿局部修复服务与广大牙病,牙齿问题等群体一起打造最美事业,缔造完美生活。我们有信心,决心和雄心,相信我们一定能做到。 公司地址:文安县赵各庄镇大堡村,联系电话:0316-5066386,联系人:魏玉梅 可登陆文安县魏家口腔门诊部网站,了解一级的牙齿局部修复,专业的牙齿局部修复,牙齿局部修复价钱如何www.weijiakouqiang.net的相关信息
询价单
0条  相关评论